Έφηβοι
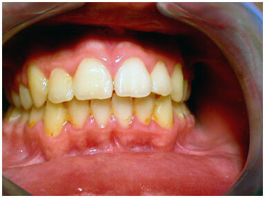
Η εμφάνιση παίζει πρωταρχικό ρόλο στους εφήβους. Η τερηδόνα, η ουλίτιδα, η άσχημη αναπνοή ή τα στραβά δόντια είναι δυνατό να δημιουργήσουν πρόβλημα αυτοεκτίμησης.
Στην εφηβεία αλλάζουν επίσης οι διατροφικές συνήθειες καθώς ο έφηβος τρώει συχνά έξω από το σπίτι του και καταναλώνει σνακ και πολλά αναψυκτικά.
Ο ειδικός οδοντίατρος παρέχει ένα εξειδικευμένο πρόγραμμα προληπτικής οδοντιατρικής και συμβουλές σχετικά με τη διατροφή. Επίσης, θα θεραπεύσει αποτελεσματικά προβλήματα με την αναπνοή και το χρώμα και σχήμα των δοντιών και όταν χρειαστεί θα πληροφορήσει για θέματα όπως το κάπνισμα, οι φρονιμίτες ή οι προληπτικές εμφράξεις (sealants).
